【2024年03月22日】今日のおすすめIT・テクノロジーニュース記事一覧

ニュース
この記事は約22分で読めます。

2024年03月22日に、注目を集めたIT・テクノロジーニュース記事一覧を掲載しました。
速報・トレンド・最新技術などご覧ください。

  1. AI作曲サービス「Suno」、無料ユーザーにも高品質版V3を開放。1日20曲、1曲2分が生成可能(CloseBox) | テクノエッジ TechnoEdge
  2. 終戦直後の様子が丸分かり、戦後すぐに米軍が作成した日本地図がオンラインで公開中【やじうまWatch】
  3. Google、PDF論文を劇的に読みやすくするChrome拡張「Google Scholar PDF Reader」
  4. プリキュアの商品イラストに生成AI? Xで指摘相次ぐ→公式が否定する事態に 「現代の魔女狩り」との声も
  5. 余らせたラズパイの使い道 – Qiita
  6. Redisよ安らかに眠れ: Garantia Dataが引き起こしたオープンソースの歴史上最大の強盗とは
  7. アジャイルでも、ウォーターフォールでもない。リクルートの新決済システムは「異色のコラボ」で作られた – はてなニュース
  8. 基幹系への安易なOSS採用は禁物、バージョンアップ多発で運用保守が重荷に
  9. 作曲AIと作画AIに対する反応の違いを考える
  10. なぜPMが25人も必要なのか – SmartHR Tech Blog
  11. 【日本初】「厄介者は宝の山だった」シラスがコンクリートの材料に!CO2排出量は従来の93%減|KYT NEWS NNN
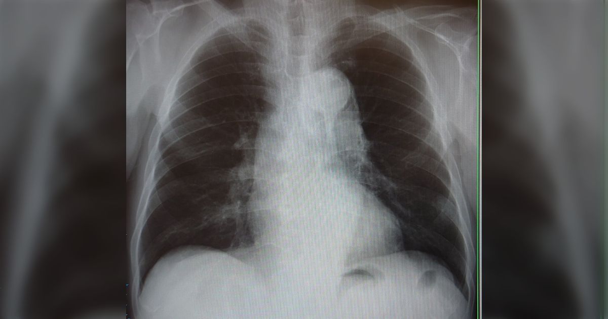
  12. 肋骨の影と見分けがつかないような異変がAIによって見つけられた「これがなかったら診断遅れてた」
  13. 家族アルバム みてねで直面してきた技術的負債 / MIXI KAG 2024
  14. 脱初級ITエンジニアまでの学習方法 – RAKUS Developers Blog | ラクス エンジニアブログ
  15. もし人間の1兆倍の知能を持つマシンが作られたら? カーツワイル氏が語る、シンギュラリティ後の世界とAIとの共存
  16. 「AI生成作品」の販売を目的とした活動について | お知らせ | アリスソフト 公式サイト
  17. GitHub、脆弱性のあるコードの自動修正機能発表。AIボットが修正済みコードと解説をプルリクエスト
  18. ChatGPTはもう古い!?話題のClaude3を徹底解説
  19. USB充電器で丸型や角型プラグのノートPCを充電できる変換ケーブルがエレコムから – エルミタージュ秋葉原
  20. 第286回 なぜ日本の半導体メーカーはTSMCになれなかったのか、過去30年を振り返る
  21. エンジニアの知的生産術 反響まとめ AIまとめ – 西尾泰和のScrapbox
  22. Googleが洪水を1週間前に予測し世界80カ国4億6000万人を水害から救えるAIを発表
  23. AIロボットのマッサージがびっくりするほど良かった話
  24. 30歳エンジニア転職で役に立たなかった経験と役に立った経験 – Qiita
  25. 生成AIの弱点が相次ぎ発覚 ChatGPTやGeminiがサイバー攻撃の標的に 情報流出や不正操作の恐れも
  26. Appleシリコンのパッチ適用不可の脆弱性を突く「GoFetch」攻撃で秘密鍵を盗み出すことが可能だと判明
  27. アイリスオーヤマの15.6型大画面Androidタブレットに新型。2万円台の8型/10.1型も
  28. 問題を高速に解く組織をつくる|福島良典 | LayerX
  29. iPad用お絵描きアプリ「Pastela(パステラ)」
  30. 既存のAIモデルを組み合わせて超高性能モデルを作る手法を日本のAI企業「Sakana AI」が開発、進化的アルゴリズムで膨大な組み合わせを試行し人間には発想困難な高性能LLMや画像生成モデルを作成可能
  31. ビジネスとコード品質の接合点 そしてコード品質がそこに及ぼす影響 / The Intersections of Business and Engineering, and The Impact of Code Quality There
  32. DuckDB as the New jq
  33. PythonのマルチスレッドWSGIサーバーの選定 – methaneのブログ
  34. [python / pandas] DataFrame を扱う人が覚えておきたい、ちょっとレアな便利技16選 – Qiita
  35. AutoDev|AI エンジニア「Devin」に驚いていたら、もう Microsoft が「AI駆動開発」ツールを用意し始めてたって話 – Qiita
  36. サービス成長と共に肥大化するモノレポ、長くなるCI時間 / As services grow, monorepos get bigger and CI time gets longer
  37. SBI証券、クレカ積立10万円引き上げでポイント付与詳細発表 10月まで最大5%
  38. Flightradar24、GPSが妨害および干渉されているエリアを示した世界地図を公開中【やじうまWatch】
  39. AI悪用からアーティスト守る法成立 テイラーさん住む米テネシー州:朝日新聞デジタル
  40. 実録!一人SREが直面している技術的負債
  41. Supercharge your PDF reading: Follow references, skim outline, jump to figures
  42. Core Ultra搭載の軽量モバイルノートが13万円台だと!? この価格でこの完成度は尋常じゃない! ~注目のイチオシノート「ASUS Zenbook 14 OLED」[Sponsored]
  43. Rails で PDF を作ったけど、時代遅れのやり方だったかもしれない
  44. 自動テスト実行結果の目的を整理する / Organizing objectives of automated test results
  45. [GDC 2024]Epic Games StoreがiPhoneやAndroidにも登場? Epic Gamesがゲーム開発者に向けたストア施策を明らかに
  46. 「新宿アルタ」25年2月末で営業終了 「笑っていいとも!」公開収録で有名に
  47. GitHub ActionsでファイルをS3にキャッシュするアクションを作りました – プログラムモグモグ
  48. プロンプトエンジニアリング入門
  49. なぜXperiaではない? ソニーに聞く「ポータブルデータトランスミッター」開発背景
スポンサーリンク

AI作曲サービス「Suno」、無料ユーザーにも高品質版V3を開放。1日20曲、1曲2分が生成可能(CloseBox) | テクノエッジ TechnoEdge

AI作曲サービス「Suno」、無料ユーザーにも高品質版V3を開放。1日20曲、1曲2分が生成可能(CloseBox) | テクノエッジ TechnoEdge
出典:AI作曲サービス「Suno」、無料ユーザーにも高品質版V3を開放。1日20曲、1曲2分が生成可能(CloseBox) | テクノエッジ TechnoEdge

Suno V3が正式に公開されました。

スポンサーリンク

終戦直後の様子が丸分かり、戦後すぐに米軍が作成した日本地図がオンラインで公開中【やじうまWatch】

 戦後すぐに米軍が作成した幻の日本地図が、オンライン地図サービスの1コンテンツとして公開されている。

スポンサーリンク

Google、PDF論文を劇的に読みやすくするChrome拡張「Google Scholar PDF Reader」

米GoogleがPDF論文閲覧用のChrome拡張「Google Scholar PDF Reader」をリリースした。各セクションにジャンプできる目次を自動作成し、引用番号から参考文献のプレビューがポップアップするなど、PDF論文を読みやすくする。

スポンサーリンク

プリキュアの商品イラストに生成AI? Xで指摘相次ぐ→公式が否定する事態に 「現代の魔女狩り」との声も

商品イラストに画像生成AIは使っていない──テレビアニメ「プリキュア」シリーズの公式Xアカウント(@precure_15th)は、そんなポストをX上に投稿した。一部ユーザーから「商品イラストに生成AIを使っているのではないか」という声が上がっていたためだ。

スポンサーリンク

余らせたラズパイの使い道 – Qiita

aboutみんなだいすきRaspberry Pi(以下ラズパイ)、せっかく買ったのに、仮想化基盤を家に用意して不要になったり、電子工作に飽きてもう使わなくなりがち…買ったときは数千円〜1万円以上…

スポンサーリンク

Redisよ安らかに眠れ: Garantia Dataが引き起こしたオープンソースの歴史上最大の強盗とは

Khawaja Shams Tony Valderrama Erika Tharp TL;DR 2024年3月…

スポンサーリンク

アジャイルでも、ウォーターフォールでもない。リクルートの新決済システムは「異色のコラボ」で作られた – はてなニュース

英語や英会話の学習を支援する『スタディサプリENGLISH』の決済システム開発をめぐっては、開発スタイルの異なるチーム同士がコラボレーションしました。その背景やシステムリリースまでの経緯を深掘りします。

スポンサーリンク

基幹系への安易なOSS採用は禁物、バージョンアップ多発で運用保守が重荷に

 多くの企業でOSSの利用が進む中、OSSを採用した当初は想定していなかった誤算に直面するケースが浮上している。商用のソフトウエアに比べてサポート期間が短かったり、サポートが充実していないため脆弱性が見つかっても放置してしまったりといった課題だ。

スポンサーリンク

作曲AIと作画AIに対する反応の違いを考える

https://anond.hatelabo.jp/images/og-image-1500.gif

スポンサーリンク

なぜPMが25人も必要なのか – SmartHR Tech Blog

こんにちは、CPOのadachiです。 この記事は「SmartHRのプロダクトマネージャー全員でブログ書く2024」への参加記事です。25人が持ち回りで毎週記事を投稿しています。 この企画にも関連するのですが、最近社外の方から「SmartHR、PM多!」という感想をいただくことが増えてきました。もしPMが多い = 裁量が小さくてつまらない環境、と思われていたら心外すぎる……許せねぇ…… そこで本稿では、なぜSmartHRには25人もPMがいるのか、一体なにを作っているのか、仲はいいのか、今後どういったオポチュニティがあるのか、といったことについて説明していきたいと思います。オポチュニティは言い…

スポンサーリンク

【日本初】「厄介者は宝の山だった」シラスがコンクリートの材料に!CO2排出量は従来の93%減|KYT NEWS NNN

火山が生み出すシラスを活用した全国初の取り組みです。県工業技術センターがシラスから火山ガラス微粉末と呼ばれる物質を取り出す技術を確立しました。コンクリートの材料になり、セメントと比べ二酸化炭素を大幅に減らすことができるということです。(内田直之キャスター)「鹿児島のシンボル桜島が今日も綺麗に見えます。火山がもたらす厄介者と言われてきたのがこのシラスです。このシラスを分類して火山ガラスの物質を取り出すことができました。コンクリートの材料になるということです」 県庁で行われた研究報告には県の職員や関係者などが出席しました。(県・総合政策部 前田洋一部長)「台風や大雨の時は崖崩れなどの災害を引き起こす厄介者と習った。何とか有益な物にできないかと県工業技術センターで研究を重ねてきた」 県工業技術センターは、昭和30年代からシラスの活用法を研究してきました。このほど、特殊な装置でふるいにかけて火山ガラス微粉末を分類することに成功。日本産業規格JISにもコンクリートの材料として認められました。 国内の二酸化炭素の排出量のうち4%がコンクリートのセメント産業だと言われています。取り出しに成功した火山ガラス微粉末はセメントの製造と比べ二酸化炭素を93%減らすことができると言います。専門家は「シラスは脱炭素と経済成長を両立するGXの救世主になる」と力説します。(内田直之キャスター)「シラス土壌に覆われた鹿児島の土地は未来の子供たちにどんな土地だと認識して欲しいか聞かせてもらえますか?」(東京大学大学院・野口貴文教授)「厄介者が実は蓋を開けてみれば宝の山だった。コンクリートが一生。永久的に作り続けることができる材料になるという意味では本当に救世主がそこにあるんだろう」 火山ガラス微粉末を大量生産するには多くのプラントが必要です。「民間企業の参入にも期待したい」と話していました。(内田直之キャスター)「厄介者を何とかしたいと研究してきたものが実は環境に優しいものだったことがわかりました。関係者は「世界中の企業が顧客になる可能性がある」と笑顔で話していました。まさに「稼ぐ力」に繋がる夢のある話だなと感じました」

スポンサーリンク

肋骨の影と見分けがつかないような異変がAIによって見つけられた「これがなかったら診断遅れてた」

更新日:3月21日23時49分

スポンサーリンク

家族アルバム みてねで直面してきた技術的負債 / MIXI KAG 2024

2024.3.22(金) SRE観点での技術負債 懺悔会 2024
https://mixi.connpass.com/event/312191/

スポンサーリンク

脱初級ITエンジニアまでの学習方法 – RAKUS Developers Blog | ラクス エンジニアブログ

こんにちは。 株式会社ラクスで先行技術検証をしたり、ビジネス部門向けに技術情報を提供する取り組みを行っている「技術推進課」という部署に所属している鈴木(@moomooya)です。 今回は毎年春先の社内ビアバッシュで新人向けに「一歩目の学習方法」として発表している話をしようと思います。 学習とは この記事の対象 学習に対する向き合い方 まず最初は 学習作戦その1「ちょい足し学習」 例)HTTPメソッドを扱ったとき 学習作戦その2「外から情報を仕入れる」 よくある情報源 技術書 技術同人誌 ウェブサイト 勉強会 SNS 飲み会 GitHub 脱初級者 手を動かす(検証と実践) 自由にできるサーバー…

スポンサーリンク

もし人間の1兆倍の知能を持つマシンが作られたら? カーツワイル氏が語る、シンギュラリティ後の世界とAIとの共存

世界的なイノベーション&クリエイティブの祭典として知られる「SXSW(サウス・バイ・サウスウエスト)」。2024年も各界のクリエイターやリーダー、専門家らが多数登壇し、最先端のテクノロジーやプロダクト、トレンドについて講演を行いました。本記事では、発明家のレイ・カーツワイル氏の登壇セッションの模様をお届けします。同氏が、「コンピュータは物事をさらに良くしていく」と語る理由についてお伝えします。

#### 前回の記事はこちら

スポンサーリンク

「AI生成作品」の販売を目的とした活動について | お知らせ | アリスソフト 公式サイト

「AI生成作品」の販売を目的とした活動について …

スポンサーリンク

GitHub、脆弱性のあるコードの自動修正機能発表。AIボットが修正済みコードと解説をプルリクエスト

GitHubは、脆弱性のあるコードをAIボットが自動的に発見、修正したコードとその解説をプルリクエストしてくれる「code scanning autofix」(コードスキャン自動修正機能)を発表しました。 Meet code scannin…

スポンサーリンク

ChatGPTはもう古い!?話題のClaude3を徹底解説

こちらのトピックス“生成AI最前線「IKIGAI lab.」”は、学び合うことを目的としたオンラインビジネスコミュニティ「OUTPUT CAMP meets AI」のメンバーで運営しています。
3/2…

スポンサーリンク

USB充電器で丸型や角型プラグのノートPCを充電できる変換ケーブルがエレコムから – エルミタージュ秋葉原

エレコム株式会社(本社:大阪市中央区)は2024年3月19日、USB充電器でノートPCの充電ができる変換ケーブル「DC-PDF20BK」「DC-PDL20BK」を発表した。即日販売が開始され、市場想定売価は税込1,480円。

スポンサーリンク

第286回 なぜ日本の半導体メーカーはTSMCになれなかったのか、過去30年を振り返る

バブルの絶頂の1980年代、日本の半導体メーカーも絶頂期だった。バブル経済崩壊とともに、日本の半導体メーカーも衰退していく。その影で、台湾でTSMCが設立され、隆盛を極めてきた。なぜ、あれほど強かった日本の半導体メーカーが、現在のTSMCの地位を築けなかったのか、この間、何が起きたか、過去30年を振り返ってみた。

スポンサーリンク

エンジニアの知的生産術 反響まとめ AIまとめ – 西尾泰和のScrapbox

長い入力をClaude 3 Opusに入れるのが面白いのでエンジニアの知的生産術 反響まとめを入れてみた claude総じて、エンジニアに限らず知的生産をする多くの人に役立つ内容で、今まで経験的にやっていたことが体系的に言語化されており、学びが多い一冊という評価が多数でした。一方で、内容が濃すぎてすぐには消化できないという声もありました。繰り返し読み返すことで、さらに理解が深まる本のようです。 f

スポンサーリンク

Googleが洪水を1週間前に予測し世界80カ国4億6000万人を水害から救えるAIを発表

世界では、総人口の2割に相当する約15億人が洪水による重大な被害のリスクにさらされており、洪水が世界経済にもたらす損害は年間約500億ドル(約7兆5000億円)にのぼると見積もられています。事前の予測が困難な洪水の発生を、最大7日前に早期警告することが可能なGoogleのAI研究が、学術雑誌・Natureに掲載されました。

スポンサーリンク

AIロボットのマッサージがびっくりするほど良かった話

人工知能(AI)を搭載したロボットに30分間マッサージしてもらう機会を得た筆者が、その体験についてお伝えする。

スポンサーリンク

30歳エンジニア転職で役に立たなかった経験と役に立った経験 – Qiita

はじめにいつも聞いているポッドキャスト番組で、エンジニア転職について生々しくリアルな話が聞けたので、紹介します。今の自分がやっている仕事が市場価値を上げられているのか? と日々の業務を振り返るきっ…

スポンサーリンク

生成AIの弱点が相次ぎ発覚 ChatGPTやGeminiがサイバー攻撃の標的に 情報流出や不正操作の恐れも

米OpenAIの「ChatGPT」やGoogleの「Gemini」など、主要生成AIの弱点や脆弱性が次々に発覚している。

スポンサーリンク

Appleシリコンのパッチ適用不可の脆弱性を突く「GoFetch」攻撃で秘密鍵を盗み出すことが可能だと判明

AppleシリコンのMシリーズに備わった「データメモリ依存プリフェッチャー(DMP)」の脆弱(ぜいじゃく)性を利用し、メモリコンテンツとデータアドレスの混同を悪用してデータを盗み出すサイドチャネル攻撃「GoFetch」を研究チームが発見しました。この攻撃により、暗号化操作時にMacから秘密鍵を抽出することが可能だとのこと。脆弱性はチップのマイクロアーキテクチャ設計そのものに由来するため、パッチを適用する方法はないそうです。

スポンサーリンク

アイリスオーヤマの15.6型大画面Androidタブレットに新型。2万円台の8型/10.1型も

 アイリスオーヤマ株式会社は、新型Androidタブレット5製品を発表した。Androidタブレットとしてはかなり大型な15.6型「TM153M6V1-B」に加え、ミドルクラスの8型「TM083M4V1-B」および10.1型「TM103M4V1-B」、エントリークラスの8型「TE084M4V1-B」および10.1型「TE104M4V1-B」を用意する。3月25日より順次発売の予定。

スポンサーリンク

問題を高速に解く組織をつくる|福島良典 | LayerX

スポンサーリンク

iPad用お絵描きアプリ「Pastela(パステラ)」

「描く」体験をもっと快適に、日常的に。

スポンサーリンク

既存のAIモデルを組み合わせて超高性能モデルを作る手法を日本のAI企業「Sakana AI」が開発、進化的アルゴリズムで膨大な組み合わせを試行し人間には発想困難な高性能LLMや画像生成モデルを作成可能

東京に拠点を置くAI企業「Sakana AI」が、複数の生成AIモデルを進化的アルゴリズムを用いて組み合わせて新たなモデルを作り出す手法を開発しました。Sakana AIはすでに大規模言語モデルや画像生成モデルの作成に成功しており、各モデルは既存のモデルよりも高い性能を備えていることが確かめられています。

スポンサーリンク

ビジネスとコード品質の接合点 そしてコード品質がそこに及ぼす影響 / The Intersections of Business and Engineering, and The Impact of Code Quality There

2024-03-21 Findy TechBrew in 東京
https://findy.connpass.com/event/310772/

スポンサーリンク

DuckDB as the New jq

Recently, I’ve been interested in the DuckDB project (like a SQLite geared towards data applications). And one of the amazing features is that it has many data importers included without requiring extra dependencies. This means it can natively read and parse JSON as a database table, among many other formats.

スポンサーリンク

PythonのマルチスレッドWSGIサーバーの選定 – methaneのブログ

今までuWSGIをシングルスレッド、マルチプロセスで使っていたのだけれども、昔に比べて外部のAPI呼び出しが増えているのでマルチスレッド化を検討している。 uWSGI uWSGIでマルチスレッドを有効にした時は、各workerスレッドがacceptする形で動作する。スレッド数以上の接続をacceptすることがないので安心。 プロセス内のスレッド間ではmutexで排他されて、同時にacceptを実行するのは1スレッドのみに制限されている。つまりthendering herd問題はプロセス間でしか起こらない。マルチスレッド化でプロセス数はむしろCPUコア数まで減らせるので、thendering h…

スポンサーリンク

[python / pandas] DataFrame を扱う人が覚えておきたい、ちょっとレアな便利技16選 – Qiita

概要そこまでメジャーではない(?)けど、覚えておくと実装時間やコードの行数を大幅削減できる!という便利な技をご紹介します!「そういえばpandasってあんなこともできたような気がするな。」…

スポンサーリンク

AutoDev|AI エンジニア「Devin」に驚いていたら、もう Microsoft が「AI駆動開発」ツールを用意し始めてたって話 – Qiita

概要まず、本記事の背景ですが、本記事を書く数日前に、「Devin AI|話題の世界初 "完全自律型" AIエンジニア「Devin」の公開内容の全訳」 という記事を書きました。https://qi…

スポンサーリンク

サービス成長と共に肥大化するモノレポ、長くなるCI時間 / As services grow, monorepos get bigger and CI time gets longer

SRE観点での技術負債 懺悔会 2024
https://mixi.connpass.com/event/312191/

スポンサーリンク

SBI証券、クレカ積立10万円引き上げでポイント付与詳細発表 10月まで最大5%

SBI証券は、クレカ積立上限額10万円への引き上げにあわせて、新たなポイント付与率と設定可能日を発表した。

スポンサーリンク

Flightradar24、GPSが妨害および干渉されているエリアを示した世界地図を公開中【やじうまWatch】

 現在飛行中の航空機の位置が分かるサービス「Flightradar24」では、GPSが妨害および干渉されているエリアを示した世界地図を公開中だ。

スポンサーリンク

AI悪用からアーティスト守る法成立 テイラーさん住む米テネシー州:朝日新聞デジタル

 カントリーミュージックで有名な米テネシー州で21日、人工知能(AI)の悪用からアーティストや演奏家、音楽業界関係者らを守る法律が成立した。リー州知事が法案に署名した。米国の州では初めての試みで、7月…

スポンサーリンク

実録!一人SREが直面している技術的負債

スポンサーリンク

Supercharge your PDF reading: Follow references, skim outline, jump to figures

スポンサーリンク

Core Ultra搭載の軽量モバイルノートが13万円台だと!? この価格でこの完成度は尋常じゃない! ~注目のイチオシノート「ASUS Zenbook 14 OLED」[Sponsored]

 新生活のスタートとなる4月を控え、ノートPCを新調しようと画策している人もいると思う。あるいは進級する子どもに「ちゃんとしたPC」を買い与えたいと考えつつも、できるだけコストパフォーマンスの高い機種を探していたりするのではないだろうか。

スポンサーリンク

Rails で PDF を作ったけど、時代遅れのやり方だったかもしれない

スポンサーリンク

自動テスト実行結果の目的を整理する / Organizing objectives of automated test results

自動テストの実行結果を「意思決定と行動を促す情報」という役割から再整理し、包括的にまとめます。

Nextbeat Tech Bar:第一回ソフトウェアテストについて考える会

スポンサーリンク

[GDC 2024]Epic Games StoreがiPhoneやAndroidにも登場? Epic Gamesがゲーム開発者に向けたストア施策を明らかに

スポンサーリンク

「新宿アルタ」25年2月末で営業終了 「笑っていいとも!」公開収録で有名に

三越伊勢丹ホールディングスは22日、東京・新宿駅東口駅前にある商業施設「新宿アルタ」の営業を2025年2月28日で終了すると発表した。

スポンサーリンク

GitHub ActionsでファイルをS3にキャッシュするアクションを作りました – プログラムモグモグ

GitHub Actionsでは依存パッケージやビルド結果などをうまくキャッシュすることで、テストやビルドの時間を短縮できます。 actions/setup-nodeやactions/setup-javaなどの各言語のオフィシャルアクションは各パッケージマネージャーのためのキャッシュ機構を提供していますし、actions/cacheを使って任意のファイルをキャッシュすることもできます。 これらは内部で@actions/cacheパッケージを使っており、キャッシュの機構はGitHub自身の機能と密に結びついています。 しかし、GitHub Actionsのキャッシュはリポジトリごとに10GBまで…

スポンサーリンク

プロンプトエンジニアリング入門

プロンプトエンジニアリング入門
.NETラボ 勉強会 2024年3月
https://dotnetlab.connpass.com/event/311594/

スポンサーリンク

なぜXperiaではない? ソニーに聞く「ポータブルデータトランスミッター」開発背景

ソニーの「α」や型番に「FX」がつくカムコーダーと接続し、高速・低遅延で映像を伝送する通信機器。それが、3月22日に発売された「ポータブルデータトランスミッター PDF-FP1」だ。ソニーはスマホとして、Xperiaシリーズをラインアップに持つが、なぜXperiaではないのか?